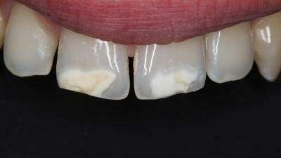
La MIH ( Hypominéralisation Molaire- incisive)
Blog - Page 15
- Informations pratiques (13)
- L'équipement du cabinet dentaire (5)
- L'orthodontie (20)
- Les choix esthétiques (10)
- Les dents chez l'adulte (6)
- Les dents de l’enfance à l’adolescence (14)
- Les dents et la santé (16)
- Les gencives (13)
- Les implants (19)
- Les pathologies bucco-dentaires (24)
- Les prothèses (20)
- Omnipratique (163)
- Prendre soin des dents (20)
- Publications (1)
- Tag section - Les fiches conseils (9)

