LA MIH
La première molaire permanente dite “dent de 6 ans” est
apparue dans la bouche de votre enfant. Avec une drôle de couleur... Elle est
peut-être atteinte par une anomalie de la structure de l’émail : la MIH.
L'hypominéralisation des molaires et incisives correspond à
une fragilisation et altération de la qualité de l'émail.
Cette pathologie touche environ 15% des enfants à l’heure actuelle et les
rend plus vulnérables au risque de carie.
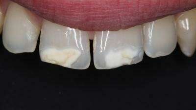
QU'EST-CE QUE LA MIH ?
Il s'agit d'un défaut de structure de l'émail.
Les dents touchées présentent une opacité isolée,
dont la teinte va du blanc/crème au jaune/marron.
LES RISQUES DE LA MIH
- Parce que l’émail est plus
poreux, il rend la dent plus fragile et sensible
au chaud/froid
- Votre enfant va de moins en
moins brosser cette dent qui lui fait mal
- La plaque dentaire va s’accumuler
- Apparition de lésions carieuses à évolution rapide, avec la destruction de la
dent touchée.
LES CAUSES DE LA MIH ?
Malheureusement, les causes de la MIH
sont encore inconnues.
Les influences prénatales, périnatales
et postnatales sont en cours d'évaluation.
De plus, les conditions
environnementales et diverses maladies survenant au cours des premières années
de la vie d'un enfant peuvent avoir une influence.
Quels sont les soins préventifs essentiels ?
- Adopter
une alimentation saine : éviter de consommer des boissons acides et
sucrées (sodas et jus de fruits)
- Faire des
bains de bouche fluorés et utiliser un dentifrice
désensibilisant.
- Brosser les dents de votre enfant minutieusement. Opter
pour une brosse à dents souple avec un dentifrice adapté et se rincer les
dents à l’eau tiède.
Quels sont les soins
thérapeutiques les plus courants ?
- L’application
de vernis fluorés afin d’éviter la déficience de l’émail (selon le besoin
tous les 3 ou 6 mois)
- Le scellement
des sillons, lorsque la dent est sortie et si la lésion MIH est légère
- Pour les lésions
légères, une micro abrasionde l’émailpeut être pratiquée.
- Pour les lésions
profondes, les restaurations sont desciments verre ionomères,
chargés en fluor ou des résines composites.
Ces
matériaux de comblement renforcent la robustesse de la dentine (couche
intermédiaire de la dent) et provoquent peu de réactions de sensibilité
secondaires au soin.
- Pour les lésions
très profondes et étendues, une couronne préformée métallique sera
mise en place ou une restauration céramique assistée par ordinateur.
